




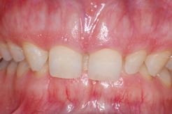
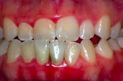
Esthetic crown lengthening procedures are used to lay the ground-work for restorative and cosmetic dentistry and/or to improve the esthetics of your gum line. Our Doctors are often asked to help your dentist improve the beauty of your teeth by reducing the amount of gum tissue that is covering your teeth when you smile. When we look at someone who has a set of “perfect teeth”, we are looking for a smile where the teeth, the gum tissue, and the alignment of the smile are in an ideal proportion. This is called the “Golden Proportion” and it applies to your face, your teeth, and any natural object that is pleasing to the eye. An ideal smile demands that only a minimal amount of gum tissue be visible when you smile and it also demands that the teeth have a natural balance between their width and their length. Patients, who have very short teeth with a lot of gum tissue, still have naturally proportioned teeth hidden behind the tissue, but a condition called “delayed passive eruption” has prevented proper exposure of the complete enamel portion of their teeth as they completed their growth process. Underneath all of that gum tissue lays a “golden proportioned smile”. Esthetic crown lengthening procedures allow us the opportunity to redefine the exposed portion of your teeth, bringing your smile as close as possible to these same proportional dimensions. It is amazing how your smile can actually “come alive” as a few millimeters of adjustment are made. In some cases, only limited changes are needed, but most people who have excess tissue display will require adjustments that involve changes around multiple teeth. Remember, none of this tissue reduction involves removal of any tissue that is required for the long-term health and stability of your teeth.

Before After

Before After
9398 Viscount Blvd, Suite 1-A | El Paso, TX 79925 | Tel 915-598-6702 | Fax 915-593-7478
Home | General Information | Patient Information | Non-Surgical Periodontal Care | Periodontal Therapies | Dental Implants | Our Doctors & Staff
Contact Us | Referring Doctors | Disclaimer | Sitemap | Periodontic Website Designby PBHS 2012©